審美歯科セラミックサイトのブログ | 広島県福山市・審美歯科セラミックネットのブログ

審美歯科セラミックネットのブログ

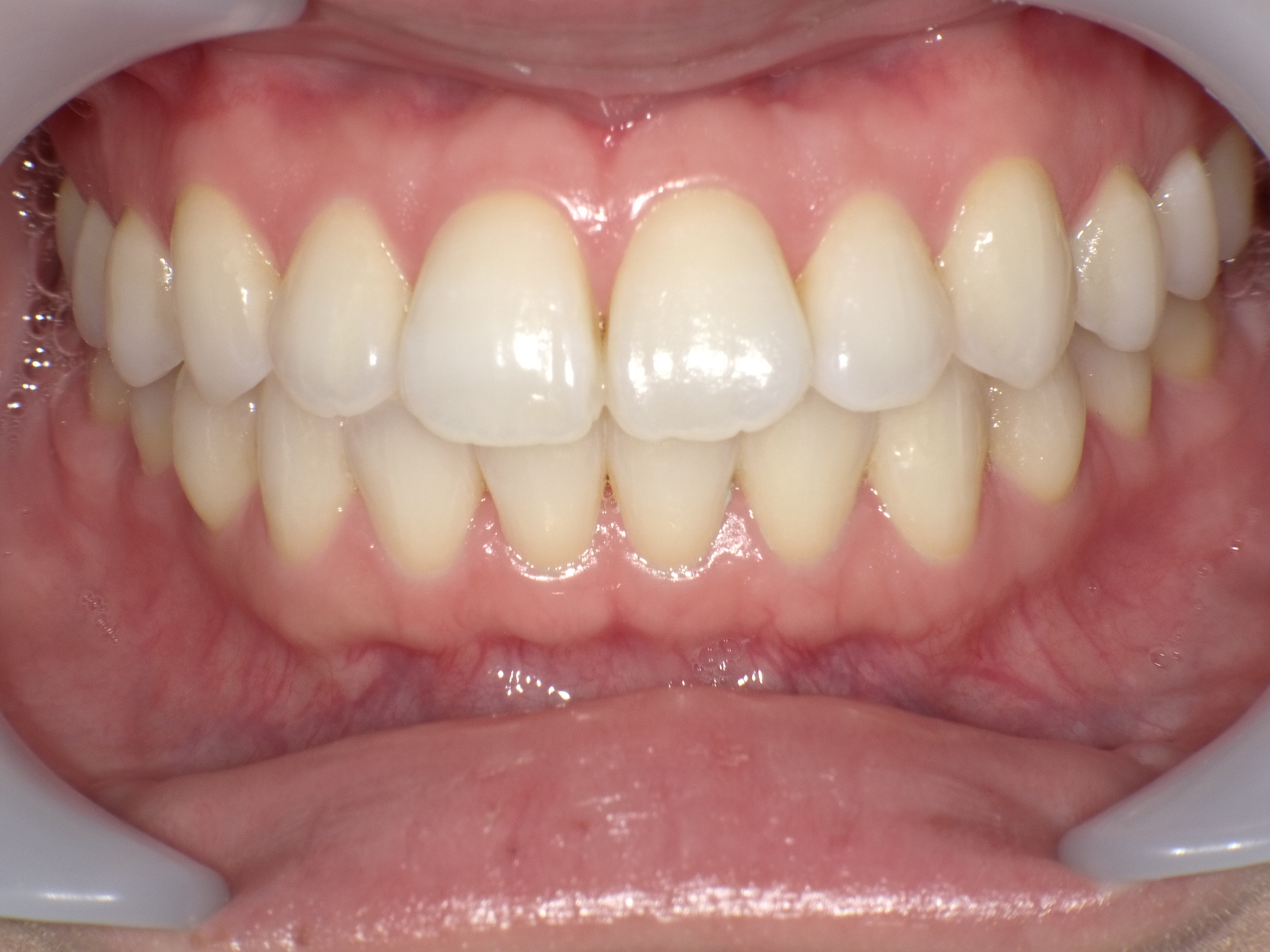
インプラント治療しました☆

医療法人 幸美会 なかむら歯科クリニック

歯科衛生士 大石 有奈

 

こんにちは。

皆さんはインプラントをご存知ですか?

インプラントは第2の永久歯と言われています。

私は当院にてインプラント治療を行いました。

この体験談を皆さんにお伝えします。

私は、右下の奥から2番目の歯にインプラントを入れました。

過去に神経の治療を行っていた歯で、気づかないうちに根っこの先に膿が溜まっている状態でした。

神経の治療を行うと感染のリスクが高くなり歯の寿命が短くなります。

下あごには下歯槽神経という大きな神経が通っています。膿が大きくなりその神経を圧迫したり傷つけてしまうと

麻痺させてしまうことがあります。

私は衛生士でありながら痛みがなく放置していたため気づいたときにはかなり進行した状態でした。

膿の袋をとる場合には、歯を抜くしか方法がありません。

歯を抜くのも怖いですが、抜いた後もどうしよう・・。と悩みました。

抜いた後の選択肢は3つです。

・インプラント

・ブリッジ

・1本だけの入れ歯

 

【インプラント】

メリット:自分の歯と同じように噛める。

他の歯を守ることができる。

審美性が高い。

デメリット:外科治療、自費治療

※全身疾患がある方はインプラント適応外の場合もございます。

【ブリッジ】

メリット:取り外しがない

入れ歯よりは噛める

デメリット:両隣の歯を大きく削らないといけない

両隣の歯の負担が大きい

【1本入れ歯】

メリット:両隣の歯の削る量が少ない

デメリット:取り外しが必要

噛む力が10分の1くらいになる

異物感があり、食事になれるまで時間がかかる

 

それぞれのメリット・デメリットを考えたうえで私はインプラント治療を選択しました。

まず、歯を抜きました。

歯を抜いたと同時に膿の除去を行い、抜歯窩を清潔にします。

抜いたところに骨を作る材料を入れます。

約8か月間、骨ができるのをこのまま待ちます。

レントゲンを撮影し、骨ができたのを確認できたら1次OPEに入ります。

骨にインプラント体を埋入します。

縫合を行い、骨とインプラントがくっつくまで約3カ月間待ちます。

骨とインプラント体がくっついたのを確認出来たら、上部構造といって頭になる部分を作ります。

型取りを行い、上部構造をセットします。

※インプラントには1回法と2回法があります。患者様のお口の状態によって変わります。

 

上部構造はセラミックで汚れが付きにくい材質で審美的にもとてもきれいです。違和感は全くありません。

骨の再生に時間がかかるため期間はかなりかかりました。

ですが、すぐに早くできる治療を選ぶのではなく、

時間がかかっても他の歯を守り永久的にしっかり噛める歯を選んだことに後悔はありません。

自分の歯と同じように違和感なく噛めることに幸せを感じています。

私ごとではありますが、平成31年2月10日に結婚式を挙げました。

インプラントにしたことで、自信がつき口元を気にすることなく思いっきり笑えました。

食事も何の違和感もなく堅いせんべいもしっかり噛めて、大好きなお肉も美味しく食べることができます。

これからも1本1本の歯を大切にしたいと思います。

院長先生、アシスタントをしてくださり、協力してくださったスタッフの皆さんに感謝しています。

 

インプラントをお考えの患者さまへ

私は、なかむら歯科クリニックの院長はじめ、スタッフの皆さんを信頼しています。

その信頼があったからこそインプラント治療に踏み込むことができました。

特に外科治療で高額治療になりますので不安に感じる患者様が多いと思います。

「この先生なら任せられる。」と思える医院で治療を受けられると安心して通えると思います。

当院では、個別でカウンセリングをおこなっております。

インプラントにご興味のある方はぜひ、お声掛けください。

 

医療法人 幸美会 なかむら歯科クリニック

歯科衛生士 大石 有奈

 

 

2019年04月25日 18:03|コメント(0)トラックバック

白い歯に生まれ変わろう!

おはようございます。
梅雨に入ったかと思えば、カラッと日差しの気持ちのいいお天気だったり、

昨日今日のように雨模様だったり…梅雨なのだなあ。。としみじみ実感しております(@^^)/~~~

まだまだ夏を感じるには時間がかかりそうですが、

早い所では、もうそろそろサマーバーゲンが始まるのではないでしょうか…

バーゲンに行くと、ついつい余計な物を買ってしまいたくなる誘惑に駆られるので、

最近は初回に行くのは我慢しておりますが、プレセールなど…やはり気になります(*^_^*)

 

さて、そんなわたくし、以前から2次虫歯になっていた部分、左上の奥歯の詰め物を

先日やっとセットしてもらいました。

しみたりしないか。。。など心配しながらの奥歯の治療もいよいよクライマックスです!!

  
ジャジャ‐‐ン!!左が治療前のパラジウムのインレー、

そして右が治療後のe-maxインレーになります。す・す・すごい!!!

何が違うって、見た目がぜんぜん違います…よね?!

それにどうでしょうか、この違和感のなさ!歯に馴染んでいますよね!

自費治療の補綴物の中で白いものはe-maxとジルコニアになりますが、

強度で言うと、ジルコニアの方が硬いのですが、e-maxは天然歯に近い強度となっており、

また、見た目の審美的な点からいうと、透明感があるので、自信の歯の色になじみやすく、

 

お口の中にセットされると、全くと言っていいほどどこに

詰め物(人工物)がセットされているのか分からないほどです!

 

ジルコニアより強度が下がるので、しっかりと長く噛みしめて頂けるよう、

患者様には就寝時にマウスピースを付けて頂くようお願いしております。

私自身はかみしめが強く、夜中喰いしばって寝ているので、

割れるリスクが高いのではないかと心配でしたが、

しっかりマウスピースを使えば、長く使えるはずです!!と

先生に太鼓判を押して頂き、一安心です◎

もう一つ奥のゴールドのかぶせに関しては、次回改めて型取り、セットになります。

非常に楽しみです!

 

医療法人幸美会 なかむら歯科クリニック

トリートメントコーディネーター 笠原.康江

2018年06月21日 12:25|コメント(0)トラックバック

目指せ真っ白な歯

福山市 医療法人 幸美会

なかむら歯科クリニック

歯科医師 土屋 知加

 

今日、約一か月ぶりにオフィスホワイトニングを

してもらいました。

普段、ウーロン茶、紅茶、赤ワインなどを飲む為

せっかくホワイトニングをしてもすぐに戻って

しまいます。

水を飲むなど、普段の生活を見直していかなければ

いけませんね!!!

 

user comment....

ホワイトニング前

 

user comment....

 

ホワイトニング後

です(^_^)/~

ばっちり白くなっていますね!!

大満足です(^_^)/~

歯科衛生士の渡邉さんありがとうございます!!

ここで注意したいことをがあります!

オフィスホワイトニングは約24時間が着色しやすい

と言われています。

ですので、その時は、食事に気を付けなければいけませんね!

ホワイトニング後に控えた方がいい食べ物・飲み物は、

赤ワイン、チョコレート、ココア、ブドウ、大豆

ポリフェノールが多く含む食品です。

飲み物でしたら、お茶、炭酸飲料、コーヒー、紅茶、

ウーロン茶、コーラです。

食品でしたら、かれー、しょうゆ、ウコン、ケチャップ、

ソース、ホウレンソウなどです。

意識しても口に入れる機会が多い食べ物ばかりですよね!!

意識して頂きたいのが、着色を防ぐ為には、白い食べ物、

色の薄い食べ物がいいという事です!!!

舌の色が変わらない食べ物!!!

例えば、先ほど例に出した!!!

白ワイン、ヨーグルト、牛乳、お米、おかゆなどです!

あまり我慢しすぎてストレスになってはいけないので、

紅茶、コーヒー、お茶を飲んだ後は、お口をこまめに

ゆすぎましょう。

意識することで、着色を防ぐことが出来るかもしれませんね!!

目指せ白い歯ですね!!

 

 

 

 

 

 

2017年02月16日 15:39|コメント(0)トラックバック

初ホワイトニング☆☆

福山市 医療法人 幸美会 なかむら歯科クリニック 林です。

こんにちは!先日、大石さんに初めてのホワイトニングをして頂きました(*^_^*)

私の中のホワイトニングのイメージは 「しみたり」 「少し痛いのかなぁ」 というイメージがありましたicon_sad.gif

なので、ホワイトニングすることに対して少し緊張しました((+_+))

 

ですが、一生に一度の成人式が近かったので絶対にホワイトニングがしたかったのでしてもらうことにしました!!

user comment....

上の写真がホワイトニングをする前になります。

私は前歯2本の着色が気になりました。昔はそれほど着色は気にならなかったのですが、歯科で働き出して白い歯を見るようになり

私も白い歯になりたいと考え始めました☆

user comment....

こちらの写真がホワイトニング後です。

見比べてみると私が一番気にしていた、前歯の着色が気にならなくなり真っ白になりました♡

1トーンぐらい色が明るくなったと思います(#^.^#)

個人差にもよると思いますが、私はしみたりもなく痛みもなかったんので快適に治療を受けれました!!

user comment....

 

前歯の次に気になっていた横の歯も白くなったのでとっても満足です☆

ホワイトニングをした後は10日間ぐらい カレー や コーヒー着色しそうな食べ物を食べるとすぐに色がついてしまうので

我慢するようにと教えて頂きました☆

気になられた方はぜひ、ホワイトニングをお勧めします。☆

 

福山市 医療法人 幸美会 なかむら歯科クリニック 受付 林 佑香

2017年01月12日 19:29|コメント(0)トラックバック

白い歯で気分上々☆

福山市 医療法人 幸美会

なかむら歯科クリニック 歯科衛生士 大石

こんにちは☆

寒い日が続いておりますね。患者様でもスタッフの間でも体調を崩す方が増えてきています。

皆さんは、体調崩されていませんか?手洗いうがいをしっかりして体調管理には気を付けましょう(*^_^*)

 

先日、私は左下のかぶせの下が痛くなり、治療をしてもらいました。

なーんだか時々ズキズキするような、チクチクするような違和感があり、嫌な予感がしていました。

レントゲンを撮ると嫌な予感は的中。。。。。

銀歯の下で虫歯になっていました(/_;)

麻酔をして虫歯の治療をしました。いつになっても麻酔は痛いです。削られる時の音・グーッ押される時の圧、いやですよね~。

むし歯の治療をされた方は分かってくれるのではないでしょうか。

銀歯の寿命はだいたい7年と言われています。

奥歯は硬い物を噛むときに使います。銀歯も長く使っていると銀がめくれて、めくれたところから細菌が入ります。自分の歯と銀歯を合着するセメントも劣化します。

銀歯は2次カリエスと言って1度むし歯になって治療したのに、また虫歯になってしまう確率がすごく高いです。保険も適用ですので金額的には安価ですが、今後のむし歯の事を考えるともう、銀歯は入れたくないと思います。

s34 s45 s46

そこで、今回はジルコニアを選択しました。ジルコニアは見た目も白く、強度も1番強い陶材でできています。陶材ですので歯垢もつきにくいというメリットがあります。

ジルコニアはe-maxと比べると白く出来上がりますが、歯が白い分には全く気になりません(^O^)☆ 銀は目立ちますが、白は目立ちません。

この歯がもう2度と虫歯にならないようにケアをしたいと思います♪♪

今までは大笑いをすると銀歯が見えていたので、写真を撮るときなどは気を付けていましたが、今では大笑いをして写真がとれ、みんなに自慢しています(^O^)☆

銀歯のやり替えを考えている人は、気軽にスタッフにお声かけください(*^_^*)

福山市 医療法人 幸美会

なかむら歯科クリニック 歯科衛生士 大石

2017年01月06日 19:59|コメント(0)トラックバック

久々の虫歯治療!

こんにちは!

福山市 医療法人 幸美会 なかむら歯科クリニック

トリートメントコーディネーターの石原です!

 

最近、久々に虫歯治療をしました((+_+))

お恥ずかしながら、右下の歯が深い虫歯になってしまい…

なんとか神経は残せたものの、かぶせをする治療をすることに(;´・ω・)

普段、患者様皆様がどんな想いで治療を受けているのか

治療中の気持ちや不安、そしてかぶせが入る待ち遠しさ

身に染みてわかりました(T_T)

 

そして今回、何よりショックだったのは

歯に、見てわかるほどの大きなヒビが入っていたことです…。

s71

歯科衛生士の吉田さんが発見してくれました!!!

歯にヒビが入っているところは実はたくさんある私なのですが

こんなにも大きなヒビだったとは…(泣)

すごーーーくショックでした。

 

なので、かぶせ治療をするにあたり、かぶせは耐久性を重視しようと考えました。

~治療中の歯~

s83

当院にて耐久面で優れているかぶせは「ジルコニア」という種類のかぶせです。

人工ダイヤにも使用されることもあり、耐久性に優れています!

自分の歯よりも少し白っぽくは仕上がりますが、耐久性重視の私は迷わずジルコニアにすることに!

治療から1週間ほどでかぶせが仕上がり、くっつけてもらいました。

s88

治療中は、仮のフタのため右で噛むことができず、食事に多少苦労したこともありました。

その分かぶせが入ってしっかり左右でかめるようになった今、とても嬉しく感じます!

やっぱり、歯って大事だな…と改めて認識できました(;´・ω・)

 

実は以前、唾液の成分検査というものを受けたことがあるのですが

あまり自慢できることではありませんが、とても虫歯になりやすい唾液だと言うことがわかりました。

唾液の成分を変えることが出来ない分、小さな歯ブラシで奥までしっかり磨いたり

糸ようじをしたりとできることはやってみましたが、それでもやはり不安でした。

自分の見える範囲には限界があることも再確認しました。

自分でする歯磨き(セルフケア)もとても大切ですが

同じくらい、歯医者さんでする歯茎の治療(プロケア)も大切だと感じた良い出来事でした。

 

今回入れたかぶせも、やはり永久的なものではありません。

なので、予防の治療をきちんと行い、かぶせと自分の歯を少しでも長く

良い状態で維持していこうと思います!!!

 

 

福山市 医療法人 幸美会 なかむら歯科クリニック

トリートメントコーディネーター 石原

 

2016年12月13日 19:31|コメント(0)トラックバック

ジルコニア☆

福山市 医療法人 幸美会なかむら歯科クリニック 受付 林です(*^_^*)

こんばんは!

先日、院長に治療をしてもらい右上奥歯をジルコニアにしてもらいました!!icon_wink.gif

私の右上には銀歯の大きい被せ物が入っていました。

にかって笑った時や、大きな口を開けて笑いすぎた時、また食事をするときなどこの上の大きな銀歯が目立って

とても嫌な気分や、積極的に口を開けれなかったり、人の目が気になったりしました(>_<)

友達と写真を撮ったりしてもギラって光って口を開けたくないなぁといつも思っていました。

 

s95

 

そして、だいぶ前に入った銀歯だったので自分の歯と合わなくなっていて歯茎の間に隙間が出来ました(-_-)

その事もあって、前回も入れたジルコニアを右上奥歯にも入れよう!と決め、

衛生士の大石さんに型を取ってもらい、小林さんにセットしてもらいました❤

 

s106

 

そして、銀歯とは大違いの真っ白なジルコニアが入りました☆

入ったときは、それほど違和感もなく次の日からはなにも気にならないくらい自然な付け心地です\(^o^)/

 

ですが、一番気にしていたのは笑った時にどう見えるかがやはり気になり

周りの人に聞いてみたところ「目立たなくなったね!」「やっぱり違うね」など嬉しい言葉を頂きました❤

噛みあわせている下の歯も銀歯なのでそれが無くなれば笑顔が今より素敵になるかなぁなんて思います(笑)❤

 

銀歯が気になり白い歯になりたい方はぜひセラミックのかぶせ物をお勧めします!

 

福山市 医療法人 幸美会なかむら歯科クリニック  受付 林 佑香

2016年11月28日 19:47|コメント(0)トラックバック

目指せ真っ白!!

福山市 医療法人 幸美会

なかむら歯科クリニック

歯科医師 土屋 知加

 

みなさん、こんにちは!!

今日は、歯科衛生士の大石さんにホワイトニング

をしてもらいました!!!

img_0009

user comment....

before

user comment....

after

ホワイトニングをやる前と、やった後です!!

ホワイトニングをやる前は、全体的に黄色みがかって

いますが、ホワイトニングをやった後は、歯頸部が

かなり白くなっていますよね(*^_^*)

大石さんありがとうございます!!!

私は、麦茶や、赤ワイン等を普段飲む為、ホワイトニング

をしても元に戻ってしまいます。

普段から、着色しにくい、水を飲むように心がけなければ

いけませんね!!

ホワイトニングをすると、20~30%の人に知覚過敏が起こる

と言われています。

みなさんは、ご存知ですか?

軽度の症状を含めると7割ぐらいの方は何らかの違和感を感じて

いるそうです!!

私も、知覚過敏の症状があります!!!

ホワイトニング中やホワイトニング後に知覚過敏が起こったら、

ホワイトニングを一時中断し、知覚過敏の頻度をへらす、時間短縮

するなど知覚過敏をコントロールしながらホワイトニングを継続

します。

知覚過敏が重度の場合は、ホワイトニングを中断し、知覚過敏の

治療が終わってからホワイトニングを再開します。

 

写真の一番上の商品を紹介します!

知覚過敏を防ぐ効果のある歯磨剤です!

ミントがきついものは辛くて磨きにくいですが、【メルザージュ ヒスケア】

は、刺激がなく、時間をかけてじっくり磨くことができます。

ラムネ菓子のような味です!!

ホワイトニングをしていて、知覚過敏の症状があってお困りの方は是非

一度使ってみてくださいね!!

 

 

2016年11月22日 13:57|コメント(0)トラックバック

オフィスホワイトニング、やってみました!

こんにちは!

福山市 医療法人幸美会 なかむら歯科クリニック

トリートメントコーディネーターの寺岡です♪

本日は、先日の石原に続いてのオフィスホワイトニングの紹介です1 (90).gif

user comment....

before A2

 

user comment....


after B2

最初の私の歯の色は、A2でした。

A2からのスタートですと、白さの段階は

A2 → D2 → B2 → A1 → B1 と進んでいきます。

わたしはコーヒーをほぼ毎日飲んでいるので、まずは前もって別の日にエアフローで着色除去をしてもらってからのスタートですicon_surprised.gif

beforeでは、なんだか黄ばみが気になります。

そしてafterの写真を見てもらうと…B2になっています!若干黄ばみが和らいだような気がしますね。

「白くなりましたね!」と言っていただいたのですが、

自分ではどうしてもまだ若干黄ばんで見えてしまう・・・

なので2週間以内に再度2度目のホワイトニングをしてもらうことにしました!

下の写真が2回目終了時の写真です。

user comment....B1user comment....A1 user comment....最初のA2

ちょうどA1とB1の中間くらいの色にまで白くなりました。

最初の写真と比べてみると、白くなっているのがよくわかります◎

ここまで白くなると、ホワイトニング大成功です!

ただ、自分ではまだまだ白さが足りないのでは…と感じてしまうという…!!

今後は、この白さを持続するために、ホームホワイトニングをしていこうと思っています。審美と健康な歯、両方に気を配って過ごしていけたら…そう思っています。

やってみたいけど、価格が気になる…

効果がどれだけあるのかな…

私の歯って今どれくらいの白さなのかな…

など、ぜひスタッフに尋ねてみてください。

皆様のご来院をお待ちしております(^^)/

 

 

 

 

 

2016年11月14日 13:44|コメント(0)トラックバック

オフィスホワイトニング♪

こんにちは!

福山市 医療法人幸美会 なかむら歯科クリニック

トリートメントコーディネーターの石原です☆

本日は、オフィスホワイトニングの紹介です1 (90).gif

 

 

≪オフィスホワイトニングとは≫

ホームホワイトニングよりも、高濃度のホワイトニング剤を塗布し

特殊な光を当てることにより歯を白くしていきます!

そのため短時間で終わりますし、すべて歯科医院にて行えます1 (48).gif1 (59).gif

 「早く白くしたい」と言う方やお忙しい方、「ホームホワイトニングは面倒」という方におススメですよ

 

 

≪オフィスホワイトニングの流れ≫
1.お口の写真を撮影(※ホワイトニング後と比較してどのくらい白くなったかを比較するために重要です)

user comment....

ホワイトニング前の写真です

user comment....

白くなる前の歯の色をみてもらいました

user comment....

上下両方、どのくらい白くなるかな~1 (35).gif
2.ホワイトニング実施
  →ホワイトニング剤が歯茎に当たらないように保護をした後、歯の表面にホワイトニング剤を塗布し、ホワイトニングマシンを使用して光を照射します1 (59).gif

dscn1372

 

 

 

 

 

 

 

ブルー色のが保護材です歯に乗せている白い薬剤がホワイトニング剤です!

dscn1365

 

 

 

 

 

 

 

専用の照射器です!照射中は少しあったかいです!

dscn1368

 

 

 

 

 

 

 

専用のメガネがあるので、照射から目を守ってくれます!

 
3.鏡で確認、白さを確認していただきます

user comment....

ホワイトニング後です1 (60).gif

私は歯の根元につめものがしてあるので、そこは残念ながら白くはなりません1 (70).gif

でも、満足の白さです1 (32).gif1 (35).gif

user comment....

歯の白さもA1からB1に1 (59).gif

ちなみに、B1は結構白いです!!!嬉しい1 (35).gif

user comment....

上下ともとても白くなりました!鏡で見てもとても白かったです!
4.最後に白くなった歯の写真を撮影

dscn1376

 

 

 

 

 

 

 

下の前歯は、過去に神経をとる治療をしたため、茶色ですが

その他の歯はとても白くなっています1 (87).gif

上下ともにホワイトニングをして、ちょうど1時間くらいでした!

ホワイトニング中は、寝れるくらいリラックスしていました(笑)
所要時間はおよそ30~60分です
※施術本数により変わります !

 

 

私は無類のコーヒー好きで、カレーも大好き…

おかげ様で歯が茶色くなっており、それがコンプレックスに…

私の大好きな浜崎あゆみさんも、歯がとっても白くて綺麗だし

なんて言ったって、笑った時の表情が明るく綺麗に見える1 (90).gif

すごく憧れていました1 (35).gif

もう何度かホワイトニングもしましたが

お家でやるホームホワイトニングは、自分のタイミングでホワイトニングできるので

そこがとても好きです1 (35).gif

でも!もっともっと白くしたい!!!と言う欲望が湧いてきて(笑)

とうとうオフィスホワイトニングもやってみることに!

LIVEに行く前や、イベントごとがある前にはホワイトニングをして気分を上げていますよ♪

ホワイトニングをすることで、笑顔に自信が持てるようになりました!

歯磨きをしたり、歯のケアをするのが以前よりも楽しくなりました1 (59).gif

ホワイトニングには個人差はありますが、繰り返しすることで白くなったり

白さを維持できます!

知覚過敏の症状がでるかたもいますが、知覚過敏用の歯磨き剤もありますので

お気軽にご相談くださいね1 (32).gif1 (35).gif

dscn1374

 

 

 

 

 

 

 

ホワイトニング中に、「おでこに”肉”って書きたくなる~♪」と言ってた

歯科衛生士小林さんでした1 (35).gif(笑)

 

 

福山市 医療法人 幸美会 なかむら歯科クリニック

トリートメントコーディネーター 石原

2016年10月28日 13:07|コメント(0)トラックバック
2025年11月
 12
3456789
10111213141516
17181920212223
24252627282930
最近の投稿
24時間かんたん予約
深夜でも日曜日でも24時間365日初診予約ができます。
初診予約はこちら
はじめたの方限定インターネット予約
お電話 0120-084-982
お気軽にご相談ください。無料メール相談
院長がメールにてお答えします。

Copyright (C) Nakamura Dental Clinic All rights reserved.